What Do Open Growth Plates Look Like? Here’s What You Need to Know

What Are Growth Plates and Why Do They Matter?
Well, let’s start with the basics. Growth plates are the areas of growing tissue near the ends of long bones in children and adolescents. They’re made of cartilage, and it’s where bones grow longer as a person develops. You might be thinking, "Why should I care about growth plates?" Honestly, if you or someone you know is growing, it’s a good idea to understand how these work. Open growth plates indicate that a person’s bones are still growing and haven’t fused yet, which is important for things like sports, injury recovery, and even overall development.
How Do Open Growth Plates Appear on X-rays?
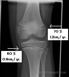
I remember the first time I saw an X-ray of a friend’s growth plates – it was actually a little shocking. Open growth plates show up as gaps or lines between the bone’s shaft and its end (epiphysis). In contrast to closed growth plates, which look like solid bone, these open plates are more like a space filled with cartilage. On an X-ray, it might seem like a black line or a space between two bones. It’s like a little doorway for bone growth.
Signs of Open Growth Plates in Children and Teens
You might be wondering, "How do I know if my child has open growth plates?" It’s not always easy to tell without an X-ray, but there are a few signs to look out for.
Rapid Growth Spurts
Honestly, if you’ve got a growing teen in your life, you’ve probably seen the sudden, sometimes awkward, growth spurts. That’s usually a good sign that their growth plates are still open and active. My younger cousin had a growth spurt last year, and I swear, one day he was barely 5’5”, and the next, he was towering over me at 5’9”. Those rapid growth spurts are often driven by open growth plates.
Increased Bone Flexibility
Ever notice how teens seem to be able to do all kinds of wild physical activities without much trouble? That flexibility in their bones can often be linked to the presence of open growth plates. The cartilage allows bones to bend slightly, which is why young people are so resilient to certain types of stress (like the one time my friend tried to jump over a fence, landed badly, and still walked away).
When Do Growth Plates Close, and What Does It Mean?
This is the part that always confused me a little. Growth plates don’t stay open forever. They typically close after puberty, usually between ages 16 and 18, though it can be later for males. Once the growth plates close, bone growth stops, and this means no more growing in height. So if you’re wondering whether your teen is done growing, an X-ray of the growth plates is the most accurate way to tell.
What Happens When Growth Plates Close?
Honestly, when those growth plates close, it’s a little bittersweet. My buddy Dave, who’s always been the shortest in our group, was upset when his X-ray showed that his growth plates had closed. No more growth for him, and he was bummed. But here’s the thing: once they close, bones become more solid, and the chance of growth-related injuries (like fractures) decreases significantly.
The Importance of Monitoring Open Growth Plates for Injuries
Okay, now let’s talk about a less fun but very real concern: injuries. If your child or teen has open growth plates, they’re more susceptible to certain injuries, like fractures that can damage the cartilage. I’ve seen it happen firsthand with a soccer teammate who broke his leg. The doctors were concerned about his open growth plates because, in his case, the bone fracture could affect future bone growth. Thankfully, he healed up, but it’s a good example of why you should be cautious.
Protecting Open Growth Plates
You might be thinking, "Can I do anything to protect these open growth plates?" Well, yeah. The best advice is to keep active kids in protective gear, especially for sports. Helmets, pads, and supportive footwear can make a big difference. But beyond that, make sure they’re not overdoing it, especially when it comes to high-impact activities. I remember pushing myself too hard in high school track, and it definitely wasn’t the smartest decision. Open growth plates are vulnerable, so it’s important to be mindful of the stress placed on them.
Wrapping Up: Keep an Eye on Those Growth Plates
Honestly, it can be kind of mind-blowing to realize how much growth happens at those little open spaces in the bones. Open growth plates are a sign that a person is still developing, and understanding them can help prevent injuries or be a clue about future growth. Whether it’s spotting rapid growth spurts or getting an X-ray, recognizing the signs of open growth plates can be super helpful in understanding the development process.
If you’re dealing with a growing teen, keep an eye on their physical activities and get an X-ray if you’re ever unsure. I know I’ll be paying more attention to mine from now on! If you’ve got any experiences or questions, let me know! I’d love to hear how you’ve been dealing with this topic.
How much height should a boy have to look attractive?
Well, fellas, worry no more, because a new study has revealed 5ft 8in is the ideal height for a man. Dating app Badoo has revealed the most right-swiped heights based on their users aged 18 to 30.
Is 172 cm good for a man?
Yes it is. Average height of male in India is 166.3 cm (i.e. 5 ft 5.5 inches) while for female it is 152.6 cm (i.e. 5 ft) approximately. So, as far as your question is concerned, aforesaid height is above average in both cases.
Is 165 cm normal for a 15 year old?
The predicted height for a female, based on your parents heights, is 155 to 165cm. Most 15 year old girls are nearly done growing. I was too. It's a very normal height for a girl.
Is 160 cm too tall for a 12 year old?
How Tall Should a 12 Year Old Be? We can only speak to national average heights here in North America, whereby, a 12 year old girl would be between 137 cm to 162 cm tall (4-1/2 to 5-1/3 feet). A 12 year old boy should be between 137 cm to 160 cm tall (4-1/2 to 5-1/4 feet).
How tall is a average 15 year old?
Average Height to Weight for Teenage Boys - 13 to 20 Years
| Male Teens: 13 - 20 Years) | ||
|---|---|---|
| 14 Years | 112.0 lb. (50.8 kg) | 64.5" (163.8 cm) |
| 15 Years | 123.5 lb. (56.02 kg) | 67.0" (170.1 cm) |
| 16 Years | 134.0 lb. (60.78 kg) | 68.3" (173.4 cm) |
| 17 Years | 142.0 lb. (64.41 kg) | 69.0" (175.2 cm) |
How to get taller at 18?
Staying physically active is even more essential from childhood to grow and improve overall health. But taking it up even in adulthood can help you add a few inches to your height. Strength-building exercises, yoga, jumping rope, and biking all can help to increase your flexibility and grow a few inches taller.
Is 5.7 a good height for a 15 year old boy?
Generally speaking, the average height for 15 year olds girls is 62.9 inches (or 159.7 cm). On the other hand, teen boys at the age of 15 have a much higher average height, which is 67.0 inches (or 170.1 cm).
Can you grow between 16 and 18?
Most girls stop growing taller by age 14 or 15. However, after their early teenage growth spurt, boys continue gaining height at a gradual pace until around 18. Note that some kids will stop growing earlier and others may keep growing a year or two more.
Can you grow 1 cm after 17?
Even with a healthy diet, most people's height won't increase after age 18 to 20. The graph below shows the rate of growth from birth to age 20. As you can see, the growth lines fall to zero between ages 18 and 20 ( 7 , 8 ). The reason why your height stops increasing is your bones, specifically your growth plates.
